大学生鼻塞久治不愈,竟因鼻子深处藏“污水渠”?医生:此病隐蔽易误诊
记者 许光琳 通讯员 李杉杉 卢亚敏
鼻塞、呼吸困难,是很多人都经历过的“小毛病”。近日,大学生李明(化名)右边的鼻孔突然被堵得严严实实,不但呼吸困难还疼得厉害!原来,导致他痛苦的并非普通鼻炎,而是一条藏在鼻腔深处的“污水渠”。郑州人民医院专家提醒,这种名为“真菌性蝶窦炎”的疾病极其隐蔽,常规治疗无效时需高度警惕。
记者了解到,李明先后跑了几家医院,均被按照普通炎症处理,尝试了消炎和喷鼻治疗,但症状丝毫没有缓解。随着鼻塞日益加重,严重影响了他的学习和休息,李明最终来到郑州人民医院郑东院区耳鼻咽喉头颈外科就诊。
该院科室副主任魏晓接诊后,在检查中发现了异常:李明鼻腔肿胀的部位触感柔软,有明显的“波动感”,如同一个充满液体的气球。魏晓用注射器进行穿刺诊断,当即抽出约3毫升黄褐色脓液。然而,就在抽出脓液几分钟后,李明的鼻子再次肿了起来。“抽掉的只是‘下游’的积水,真正的‘上游源头’还在制造麻烦。”魏晓说。
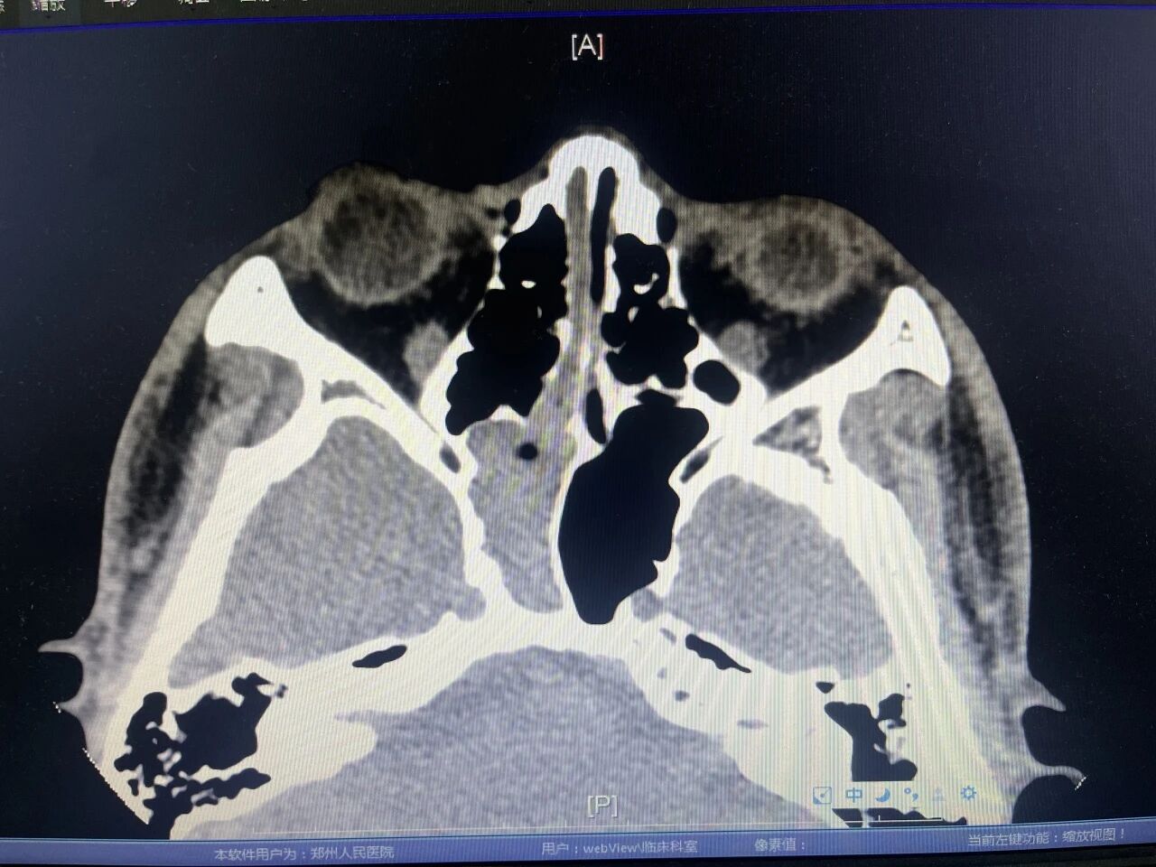
为找到病根,魏晓安排李明进行了鼻窦CT扫描。结果显示,在他鼻腔最深处、位于眼球后方的“蝶窦”内,充满了异常分泌物和新生组织。这层神秘的面纱终于被揭开——李明被确诊为真菌性蝶窦炎。
魏晓介绍,蝶窦位置很深,普通检查难以发现。通常蝶窦发炎产生的脓液会从鼻腔或口腔流出,但李明的鼻子跟一般人长得不一样,他蝶窦里的脓液排不出去,像小溪水一样,慢慢流到鼻中隔,因为重力的作用,脓液积存到鼻子最下端导致鼻中隔肿胀,堵塞鼻腔通道。更危险的是,若不及时处理,脓肿将持续侵蚀鼻中隔软骨,一旦软骨液化吸收,将直接导致鼻梁塌陷,造成面部永久性畸形。

病因明确后,魏晓主任为李明安排急诊手术。术中清晰可见,李明的蝶窦内充满真菌团块和脓液,正持续不断地“灌注”到鼻中隔。医生彻底清除了蝶窦内的真菌和脓液,成功端掉了“污染源”。术后,李明的鼻塞和肿胀症状迅速缓解,术后第二天便恢复了正常呼吸。
魏晓主任提醒,蝶窦炎常常“悄无声息”,可能没有发烧、白细胞升高等典型感染症状,仅表现为深部头痛、眼睛胀痛、鼻腔异味或脓鼻涕。由于其位置隐蔽、发展缓慢,常规药物保守治疗往往难以彻底治愈。“一旦诊断明确,建议尽早接受鼻内镜手术微创治疗。”魏晓强调,对于不明原因的顽固性鼻塞、头痛,尤其经过常规治疗无效时,应及时进行鼻窦CT检查,排除蝶窦病变的可能,以免延误病情,造成严重后果。